
GigapixelTutor
Förderjahr 2022 / Projekt Call #17 / ProjectID: 6384
Wir — Christoph Rinner und Philipp Tschandl — sind Lehrende an der Medizinischen Universität Wien und forschen seit Jahren gemeinsam an der Entwicklung neuer digitaler Web-, Daten- und KI-basierter Lösungen für die medizinische Praxis und Lehre und betreiben die Lehrplattform Dermonaut.com.
Das Projekt ist für Studierende und Lehrende, die mit Gigapixel-Bildern mit einer Größe von z.T. mehreren Gigabyte arbeiten, interessant. Die Verwendung solcher Bilder umfasst viele Fachrichtungen wie Kunstgeschichte, Astronomie, Städteplanung, Geografie, aber auch die Medizin.
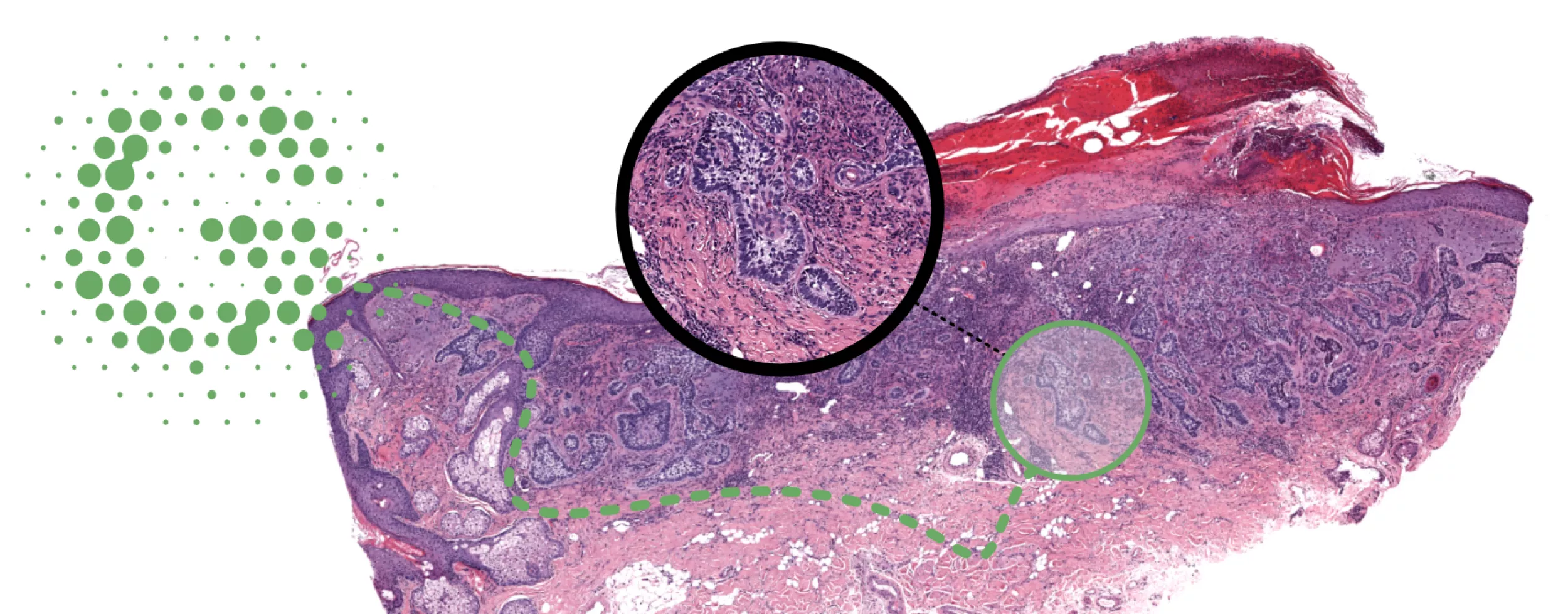
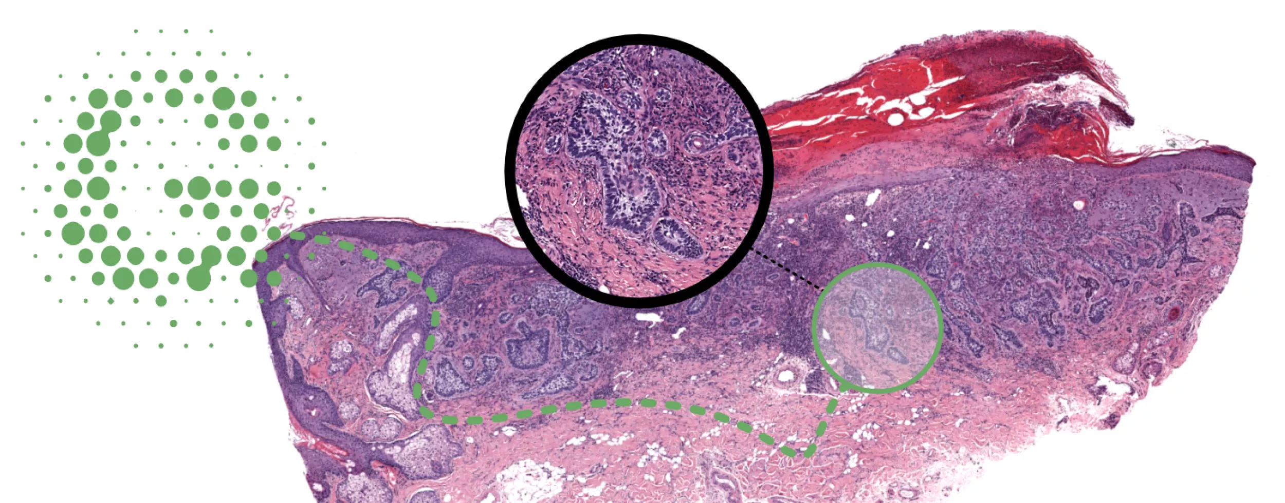
In der Pathologie werden z.B. Präparate in virtuellen Mikroskopen als Gigapixel-Bilder statisch zur Verfügung gestellt. In der Pandemie hat sich die Lehre z.T. auf Lehrplattformen wie Moodle verlagert. Neue innovative Lehrmethoden wie das "Inverted Classroom Model" zeigen die Vorteile eines selbstgesteuerten Lernens (Individualphase) in Kombination mit Präsenzlernphasen auf. Um innovative Lehre mit Gigapixel-Bildern online umzusetzen, mangelt es an Interaktivität, die z.B. beim Arbeiten am Mikroskop mit Glasobjektträgern im Präsenzunterricht gegeben ist. Ziel ist es, diese Inhalte interaktiv in Moodle anzubieten. Ausgangspunkt sind Gigapixel-Bilder (z.B. digitalisierte Objektträger, Aufnahmen von Kunstwerken, Landkarten). Diese können mit existierenden OpenSource-Tools schon statisch online eingebunden werden.
Wir erstellen ein Moodle-Plugin, um einfach Annotationen, Audio- und Videobeschreibungen zum Gigapixel-Bild hinzuzufügen und ermöglichen es mehreren Nutzern gemeinsam in diesem zu navigieren.
Themengebiet
Gesamtklassifikation
Technologie
verwendete Open Source SW
Lizenz
Uni | FH [Universität]
Projektteam

Projektergebnisse
Entwickler_innen-Dokumentation
Anwender_innen-Dokumentation
GigapixelTutor Webapplikation inkl. Annotation
GigapixelTutor Moodle Plugin inkl. Annotation & Echtzeit
Daten-Projektergebnisse als Open Data. Über den “DermRepo”-Fork in Kollaboration mit der International Dermoscopy Society wurden bereits erfolgreich zahlreiche dermatoskopische Bilddaten eingebunden.